Prof. Dr. Zeki Şahinoğlu Resmi Web Sayfası
(0216) 360 85 85
fetusprenatal@gmail.com
ANA SAYFA
ÖZGEÇMİŞ
YAPILAN İŞLEMLER
Fetal Doppler Ultrasonografi(USG)
I. Trimester
II. Trimester
III. Trimester Doppler USG
İnvazif işlemler
Amniosentez
Koryonik villus örneklemesi (CVS)
KVKK
İLETİŞİM
RANDEVU ALIN
×
Randevu Formu
Lütfen Formu Eksiksiz Doldurunuz.
İsim Soyad
*
Email
*
Telefon
*
Randevu Tarihi
*
Mesajınız
*
GÖNDER
YAPILAN İŞLEMLER
Ana Sayfa /
Yapılan İşlemler /
III. Trimester
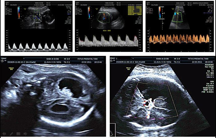
III. Trimester / Fetal büyüme – plasenta değerlendirmesi
Fetal büyüme hızı
Amnion sıvı miktarı
Beyin parankimi kontrolü
Kalp planları kontrolü
Plasenta değerlendirmesi
Fetal Doppler incelemeleri
Umbilikal arter
Ductus venosus
Orta serebral arter
Plasenta incelemesi
Yerleşimi - görünümü
Servikse (doğum kanalı) yakınlığı
Damarlanma artışı
Plasenta arkasındaki myometrium yapısı
Umbilikal kord insersiyon yeri