II. Trimester / 19-22 hafta USG incelemesi


II. düzey detaylı fetal anatomik inceleme, genetik sonogram

Amaçlar

  • fetal organların sistematik bir disiplinde detaylı olarak incelenmesi
  • gerekli ölçümlerin yapılması
  • görüntülerin değerlendirilmesi
  • bulguların kaydedilmesi
  • fetal anomali saptanması koşulunda ailenin bilgilendirilmesi
  • gerekirse fetal kromozom analizi amaçlı girişimlerin uygulanması
  • ilgili diğer branş uzmanlarıyla konsültasyon sağlanması
  • gebeliğin yönetimine yönelik önerilerin sunulması
  • doğum zamanlaması / şeklinin planlanmasında önerilerin sunulması
  • Fetal gelişim
  • Amnion sıvı miktarı – plasenta – serviks uzunluğu
  • Fetal anatominin detaylı incelenmesi – fetal anomali araştırması
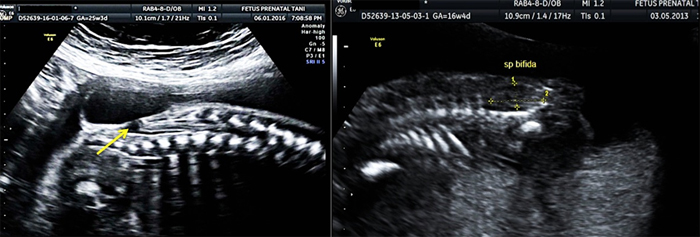
    • Nörosonografi (beyin – omurga yapıları)
    • Ayrıntılı fetal kalp incelemesi
    • İskelet sistemi (toraks, uzun kemikler)
    • Gastrointestinal sistem (mide – barsak – safra kesesi)
    • Genito-üriner sistem (böbrekler, mesane, genital organ)


Organların incelenmesi

  • Santral sinir sistemi (beyin - omurga – omurilik)
  • Yüz yapıları (burun kemiği – yüz profili – çene – dudaklar – gözler)
  • Kardiovasküler sistem (kalp planları – dolaşım sistemi)
  • Toraks (akciğer – diafragma – kaburga kemikleri)
  • Gastrointestinal sistem (mide – barsak – safra kesesi – karaciğer)
  • İskelet sistemi (kafa kemikleri – kaburga kemikleri – el, ayak, parmaklar)
  • Genito-üriner sistem (böbrekler – mesane – genital yapı)
  • Amnion sıvı miktarı (gebelik kese içindeki su)
  • Plasenta yerleşimi – umbilikal kord (göbek kordonu)
  • 3 boyut / 4 boyut görüntüleme - Fetusun multiplanar incelenmesi

Nörosonografi

Fetal nörosonografi, beyin yapıları ve omurga - omurilik anatomisinin değerlendirilmesidir. Santral sinir sistemi yapılarının aksial – sagital ve koronal planlarda incelenmesidir. Bu incelemede:

  • gerekli ölçümler alınır
  • varsa anomali tanımlanır
  • genetik çalışmaya yönelik girişim ve değerlendirme yapılır
  • gebeliğin izlenmesi – doğum şekli ve zamanlaması hakkında bilgi verilir.










Fetal Yüz

Yüz yapıları sagital ve koronal planlarda incelenir


  • Alın yapısı, metopik sutura
  • Gözler ve lensler
  • Burun delikleri ve dudaklar
  • Burun kemiği uzunluğu ve prenazal doku kalınlığı
  • Çene yapısı
  • Dil hareketleri
  • Yüz yapısal anomalilerinde kromozom analizi + array çalışması önerilir.




Ayrıntılı kardiak inceleme


  • Kalp anatomisinin ayrıntılı değerlendirilmesidir.
  • 6 farklı planda incelenir
  • Renkli Doppler ile kan akımları değerlendirilir
  • Kardiak anomalilerin çoğunda kromozom analizi + array çalışması önerilir.
  • Apikal 4 kadran
  • Transvers kesit
  • 3 damar trakea (3 VT)

  • Sol ventrikül çıkışı (Aort)
  • Sağ ventrikül çıkışı (Pulmoner arter)
  • Uzun eksende büyük damar arkusları




Toraks


  • akciğer parankim yapısı
  • diafragma çizgisi
  • toraks abdomen uyumu
  • kaburga kemikleri


İskelet Sistemi


  • kafa kemikleri
  • el – ayak kemikleri
  • parmaklar
  • kaburga kemikleri
  • omurga


Gastro-intestinal sistem


  • midenin varlığı – yeri
  • safra kesesinin varlığı
  • karaciğer parankimi
  • barsak görünümü
  • batın duvarı


Genito-üriner sistem


  • böbreklerin
    • varlığı - yeri
    • yapısı – görünümü
  • mesane
    • görünümü
    • büyüklüğü
  • genital sistem yapısı


Annenin değerlendirilmesi


  • 11-14 hafta ve 19-22. hafta incelemelerinde her iki uterin arter Doppler indekslerinin ölçümü ile ilerleyen haftalarda gelişebilecek gebelik hipertansiyonu – preeklampsi için risk öngörüsü sağlanır.
  • Serviks (rahim kanalı) uzunluğu ölçümü ile erken doğum için risk değerlendirmesi yapılır.
  • Yapısal uterus (rahim) anomalilerinin (arkuat uterus – bikornis gibi) veya myom – over kisti gibi oluşumların varlığı kaydedilir.